REABILITAÇÃO ORAL 4 - PLÁSTICA GENGIVAL E USO DE BOTOX

Reabilitação Oral 4

Paciente de 50 anos realizou tratamento para melhoria da aparência dos dentes e exposição gengival durante o sorriso.

Foi realizada a reabilitação oral completa usando sistema digital de impressora 3D para realizar todas as facetas e coroas de porcelana e cirurgia gengival para redução do sorriso gengival e contenção do lábio superior com uso de botox.

Fase inicial do tratamento

Análise e Planejamento Digital com Smile Designer Pro

Planejamento da Cirurgia de Plástica Gengival

Após a cirurgia de Plástica Gengival

Após o escaneamento, os novos dentes de porcelana aparecem na tela onde o software Cerec junto com o dentista realiza os ajustes antes de serem finalizados pela impressora 3D.

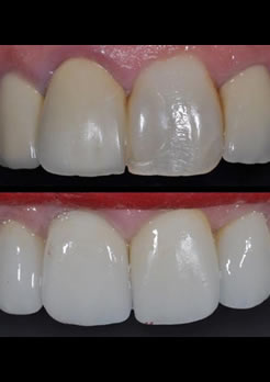
Antes e Depois

Antes e Depois

Antes e Depois

Antes e Depois

ONDE ESTAMOS

Rua Miguel de Frias, 150 - Conj. de salas 702 / 703 Icaraí - Niterói - Rio de Janeiro

CONTATO

(21) 2622.6587 & 2621.6864
Whatsapp: (21) 99532.9156 carlosdantasclinica@gmail.com

REDES SOCIAIS

WhatsApp