Restaurações em resina

Restaurações cervicais em resina

Quem não deseja ter um sorriso perfeito? Isso é possível através da restauração em resina. Esse tratamento ajuda a prevenir problemas posteriores na região dentária. Uma avaliação mais profunda do dentista é ideal para a indicação (ou não) desse procedimento.

Existem diversos tipos de restaurações, porém a que possui um resultado mais natural é a de resina. É utilizada para restaurações em pequenos espaços.

As restaurações em resina compósita são indicadas para pacientes com erosão, abfração cervical, retração gengival e para reforma de coroas porcelana com exposição radicular marginal.

Para esse tratamento apresentar sucesso o paciente deverá apresentar um nível de gengiva inserida regular. Caso contrário será indicada primeiramente uma cirurgia de enxerto gengival para regularizar a margem gengival.

São extremamente conservadoras ao esmalte dentário, pois não necessitam de desgaste. Elas recobrem o contorno cervical dos dentes diminuindo a sensibilidade do dente e protegem as raízes para futuros problemas de canal e retração gengival.

  

Conheça um caso de Restaurações em resina da Clínica Carlos Dantas

restaurações em resina

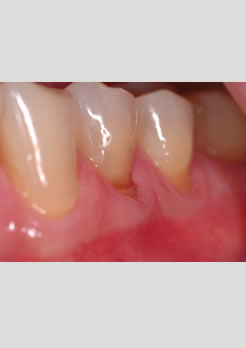
Abfração cervical

tratamento para os dentes

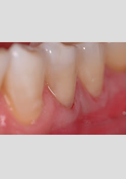
Restauração de resina composta sem desgaste do esmalte

restaurações dentárias

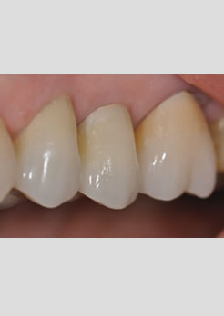
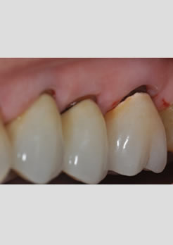
Caso de paciente com coroas de porcelana antigas em excelente estado, apenas com aspecto antiestético e escurecido na cervical

restaurações

Depois do tratamento

Clínica Odontológica Carlos Dantas

ONDE ESTAMOS

Rua Miguel de Frias, 150 - Conj. de salas 702 / 703 Icaraí - Niterói - Rio de Janeiro

CONTATO

(21) 2622.6587 & 2621.6864
Whatsapp: (21) 99532.9156 carlosdantasclinica@gmail.com

REDES SOCIAIS

WhatsApp