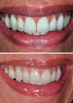
PONTE FIXA EM PORCELANA APARAFUSADA SOBRE IMPLANTES

Paciente 63 anos, com prótese total superior e alguns dentes inferiores.

Foi realizado 9 implantes superiores e uma prótese fixa em porcelana aparafusada sobre o implantes após seis meses da instalação dos implantes.

Neste período a paciente utilizou uma prótese fixa provisória aparafusada sobre os implantes.

Instalação da prótese fixa em porcelana. Estética com alto grau de naturalidade reestabelecida.
ONDE ESTAMOS
Rua Miguel de Frias, 150 - Conj. de salas 702 / 703 Icaraí - Niterói - Rio de Janeiro
CONTATO
(21) 2622.6587 & 2621.6864
Whatsapp: (21) 99532.9156 carlosdantasclinica@gmail.com
Whatsapp: (21) 99532.9156 carlosdantasclinica@gmail.com