PLÁSTICA GENGIVAL PARA RECESSÃO GENGIVAL
Plástica gengival para recessão GENGIVAL
A RECESSÃO GENGIVAL, inflamação gengival ou retração gengival é uma migração dos tecidos gengivais geralmente causada por:
– Inflamação gengival;
– Escovação incorreta ou forçada;
– Espessura fina de tecido gengival e falta de osso ou defeito ósseo.
Essas recessões gengivais podem causar hipersensibilidade dentinária e cárie radicular. E nos casos mais severos perda do elemento dental. O tratamento indicado seria a microcirurgia de enxerto gengival para recobrimento radicular.
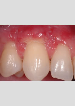
Paciente com retração gengival de 5 milímetros com prognóstico favorável.
1 semana após a cirurgia de enxerto de cobertura gengival
Após 1 mês da cirurgia
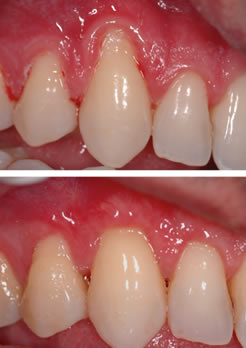
Antes e depois do tratamento
ONDE ESTAMOS
Rua Miguel de Frias, 150 - Conj. de salas 702 / 703 Icaraí - Niterói - Rio de Janeiro
CONTATO
(21) 2622.6587 & 2621.6864
Whatsapp: (21) 99532.9156 carlosdantasclinica@gmail.com
Whatsapp: (21) 99532.9156 carlosdantasclinica@gmail.com