IMPLANTES COM CARGA IMEDIATA E INSTALAÇÃO DA PRÓTESE EM 48 HORAS
Prótese fixa sobre implantes é a melhor alternativa para desdentados e pacientes em estágios periodontais finais dos dentes e raízes perdidas.
Melhor estética e fonética, aumento da auto-estima e mais qualidade de vida com o retorno para a vida social são benefícios oferecidos pelos implantes osseointegrados.

Desenho esquemático da arcada inferior com implantes para receber uma prótese fixa aparafusada.
O trauma e o desconforto social daqueles que perderam totalmente os seus dentes não é mais um destino natural.
Agora, dependendo da complexidade do caso, em 48 horas portadores de dentaduras ou até mesmo pessoas que perderam seus dentes por acidente ou anomalias adquiridas podem sorrir novamente, sem receios ou limitações.
Realizando de 4 a 8 implantes é possível adaptar com firmeza uma prótese fixa aparafusada sobre a maxila e ou mandibula. No máximo, em dois dias após a instalação cirúrgica do implantes o paciente recebe a prótese aparafusada.
Desenho esquemático da prótese fixa com 12 dentes aparafusada em 48 horas após a instalação cirúrgica dos implantes:
Somente em algumas situações, quando a quantidade óssea é limitada, pode ser difícil a aplicação dessa técnica, sendo necessário um enxerto ósseo ,e após 6 meses, a instalação dos implantes e da nova prótese.
Para chegar ao diagnóstico são necessários exames clínico, exame de sangue, radiográficos, tomografia computadorizada em 3d (encaminhamento para uma empresa terceirizada) e planejamento digital com Smile Design Pro para um efetivo tratamento.
Na maioria dos casos os pacientes não mudam a rotina de trabalho em função da cirurgia para colocação dos implantes.
As cirurgias são realizadas em sala cirúrgica preparada com equipamentos de monitoramento cardiovascular e para casos emergências cardio respiratórias.


A sedação consciente intra venosa com monitoramento por médico anestesiologista são usadas frequentemente na Clinica CARLOS DANTAS para as cirurgias de carga imediata.
Sala cirúrgica com equipamentos de monitoramento cardio respiratórios.
Além de proporcionar um enorme conforto ao paciente por estar inconsciente, a anestesia utilizada pelo dentista é reduzida drasticamente, melhorando o pós operatório e a segurança para o procedimento.
As próteses fixas causam uma verdadeira revolução na vida das pessoas, que passam a não evitar mais a sorrir, resgatam a segurança e com isso conseguem se alimentar melhor, ingerindo fibras e até mesmo uma boa carne.
Melhor estética, com os músculos da face e do sorriso reorganizados, melhor fonética, melhor funcionamento do aparelho digestivo, aumento da auto-estima, mais compromissos sociais. Estes são os benefícios mais frequentes na vida dos portadores de implantes osseointegrados.

Antes – Paciente homem 45 anos, com perda de vários dentes e alteração no posicionamento dos dentes

Antes – são realizados exames pré operatórios como: exame de sangue, radiografias, tomografia computadorizadas em 3D, avaliação geral do estado de saúde do paciente e análise estética com Smile Design Pro

Instalação de 6 implantes na arcada superior com a técnica de carga imediata, com instalação da prótese em 48 horas

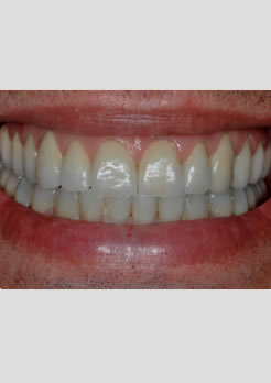
Prótese fixa instalada dois dias após a colocação dos implantes

RX panorâmico dos implantes instalados

Antes e depois do tratamento

Antes do tratamento

Novo perfil rejuvenecido
ONDE ESTAMOS
Rua Miguel de Frias, 150 - Conj. de salas 702 / 703 Icaraí - Niterói - Rio de Janeiro
CONTATO
Whatsapp: (21) 99532.9156 carlosdantasclinica@gmail.com