IMPLANTE DE 1 SÓ DENTE
Antes – Paciente mulher 57 anos apresentou fratura do dente canino e foi realizado extração e instalação imediata do implante
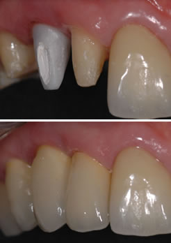
Depois – Após 2 meses foi colocado o novo dente de porcelana com um pilar em zircônia (peça aparafuzada no implante)
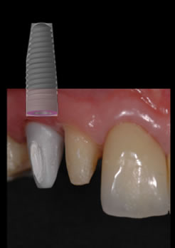
Implante instalado //B- Abutment de zircônia // C-Coroa de porcelana finalizada
Coroas de porcelana finalizadas
ONDE ESTAMOS
Rua Miguel de Frias, 150 - Conj. de salas 702 / 703 Icaraí - Niterói - Rio de Janeiro
CONTATO
(21) 2622.6587 & 2621.6864
Whatsapp: (21) 99532.9156 carlosdantasclinica@gmail.com
Whatsapp: (21) 99532.9156 carlosdantasclinica@gmail.com