Facetas de porcelana
Conheça as Facetas de porcelana para um sorriso mais bonito
As Facetas de porcelana, ou lente de contato, são ideais para quem deseja ter um sorriso bonito em pouco tempo. São indicadas para pacientes que necessitam de melhorias na forma, alinhamento e na coloração dos dentes anteriores e que tenham pouco tempo para se submeter a tratamentos com aparelho ortodôntico.
A clínica Carlos Dantas atualmente trabalha com um scanner e uma impressora 3D que consegue produzir até 4 dentes de porcelana em uma única sessão sem necessidade de moldes ou protéticos. O desgaste dos dentes são imperceptíveis e na maioria dos casos sem anestesia.
O One Session tem o objetivo de otimizar o tempo de tratamento para o paciente, realizando o maior número de intervenções em uma única sessão, de acordo com o nível de complexidade do tratamento dentário.
Se você tem pouco tempo livre, aproveite essa facilidade para otimizar o seu tratamento e o seu tempo. Há uma demanda crescente por qualidade aliada a agilidade do tratamento. A equipe da Clínica Carlos Dantas está preparada para atendê-lo no One Session.
Clínica Odontológica Carlos Dantas
Conheça um caso de Facetas de porcelana da Clínica Carlos Dantas

Foto 1
Antes: Paciente com dentes pequenos, escurecidos e com alteração na forma.
Depois: Avaliação estética do sorriso através do programa Smile Design Pro.

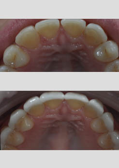
Caso inicial e finalizado – observar as lentes de contato dental apenas na parte vestibular dos dentes.

Foto 3: Avaliação da nova cor dos dentes em porcelana, através de escalas de cor.
Foto 4: Simulação do novo sorriso através do programa Smile Design Pro e aprovação do paciente.
Teste-drive – antes de iniciar tratamento não há desgaste nenhum dos dentes apenas uma camada ultrafina de resina sobre os dentes para que o paciente possa avaliar precisamente como o novo sorriso vai finalizar. O paciente poderá nesta fase de teste drive ir para casa avaliar a fonética (fala) e mastigação e ter opinião dos familiares.

Resultado Final: Antes de depois lente de contato dental

Caso inicial de perfil – Observar o novo desenho dos lábios.

Caso finalizado

Caso final de perfil – Observar o novo desenho dos lábios.
Antes do tratamento, o paciente deverá realizar consultas prévias, de acordo com o nível de complexidade do tratamento. A Clínica Carlos Dantas possui clínica adequada com sala cirúrgica, consultório equipado para atender qualquer tipo de emergência.
Para todo o conforto do paciente, é disponibilizado no consultório filmes e séries através de Apple tv ligada a Óculos Virtual e TV de LED durante o tratamento.
ONDE ESTAMOS
Rua Miguel de Frias, 150 - Conj. de salas 702 / 703 Icaraí - Niterói - Rio de Janeiro
CONTATO
Whatsapp: (21) 99532.9156 carlosdantasclinica@gmail.com