Faceta de Resina direta
Faceta de Resina direta sem desgaste do esmalte
O sorriso é o seu cartão de visitas e deixá-lo bonito e harmônico pode não ser uma tarefa fácil. Porém, com o avanço das tecnologias e inovações na área Odontológica, você pode ter o sorriso que sempre sonhou.
Sem o desgaste dos dentes é possível a aplicação das Facetas de resina, que são alternativas mais rápidas e com valor menor do que a Faceta de Porcelana, chamada também de Lentes de Contato.
As Facetas de resina cobrem apenas a parte visível do dente e são lâminas finas para fins estéticos. São indicadas para pequenas correções de forma e de cor.
As resinas, como os dentes naturais, amarelam com o tempo. Por isso, você deve evitar alimentos que mancham os dentes e hábitos como o fumo.
A Clínica Carlos Dantas realiza a simulação do seu sorriso através de programa específico para você poder acompanhar melhor os resultados do seu tratamento.
Conheça um caso de Faceta de resina da Clínica Carlos Dantas
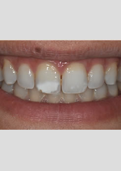
Antes: Paciente jovem 18 anos sexo feminino com dentes com manchas brancas por fluorose, Insatisfeita com a estética, mas não gostaria de desgastar os dentes para colocação de facetas de porcelana ultra finas (lentes de contato)
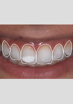
Foi realizado um estudo com o soft Smile Design Pro e uma simulação para saber como ficaria o novo sorriso.
Uma simulação foi realizada para a paciente ter mais segurança para alteração da nova estética
Foi indicado faceta de resina compósita diretamente confeccionada na boca sem nenhum desgaste do esmalte dentário
Antes e depois do tratamento
Visão de perfil 45 graus
Visão de perfil 45 graus
Torne o seu sorriso mais harmônico
ONDE ESTAMOS
Rua Miguel de Frias, 150 - Conj. de salas 702 / 703 Icaraí - Niterói - Rio de Janeiro
CONTATO
Whatsapp: (21) 99532.9156 carlosdantasclinica@gmail.com