ENXERTO GENGIVAL COBERTURA RADICULAR ARCADA INFERIOR
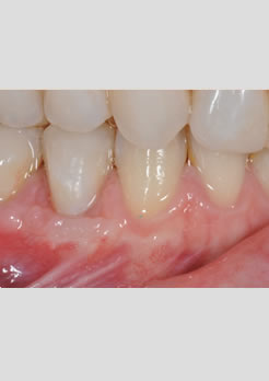
Paciente mulher 40 anos com hipersenssibilidade dentinária na região de pré molares inferiores.
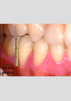
Antes – Retração gengival de 4mm com uma faixa de menos de 0,5mm de gengiva inserida na região cervical do dente e com extrema necessidade de reposição tecidual para um melhor prognóstico futuro do pré molar afetado
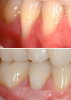
Depois – Dois meses após a cirurgia de enxerto de tecido conjuntivo
Antes e depois do tratamento
ONDE ESTAMOS
Rua Miguel de Frias, 150 - Conj. de salas 702 / 703 Icaraí - Niterói - Rio de Janeiro
CONTATO
(21) 2622.6587 & 2621.6864
Whatsapp: (21) 99532.9156 carlosdantasclinica@gmail.com
Whatsapp: (21) 99532.9156 carlosdantasclinica@gmail.com