Coroas em porcelana

Coroas em porcelana – Coroas anteriores personalizadas

As coroas em porcelana, ou metal free, são utilizadas para restaurações com resultados naturais. Os benefícios são melhora estética, alta resistência e durabilidade, translucidez, além do material utilizado dificultar o aparecimento de manchas cinzas na gengiva.

As coroas em porcelana possuem um alto grau de avaliação da cor, da forma e da textura dos dentes remanescentes do paciente.

Com o Scanner e o Software Cerec, os profissionais da clínica Carlos Dantas são capazes de avaliar e sugerir a forma biogenética do paciente, ou seja, o software tem capacidade de criar uma forma bem próxima do dente natural do paciente, criando uma simulação bem próxima ao resultado final do tratamento.

   

Conheça um caso de Coroas em porcelana da Clínica Carlos Dantas

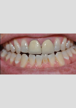
Paciente jovem apresentou-se na clínica com coroas de porcelana antigas e escuras na cervical nos dois incisivos centrais superiores. Foram trocadas as duas coroas por novas coroas em porcelana livres de metal.

tratamento coroas em porcelana

Antes paciente face

dentes antes do tratamento com coroas em porcelana

Antes do tratamento

resultado final coroas em porcelana

Depois paciente face

coroas em porcelana

Depois do tratamento

Conheça a estrutura da Clínica Carlos Dantas

A Clínica Carlos Dantas, localizada em Niterói, na região nobre e acessível de Icaraí, possui uma das melhores infraestruturas de Niterói para o seu tratamento dentário. Equipamentos de ponta para tratamento diferenciado para quem deseja ter um sorriso bonito e saudável.

– Consultório Planejado;
– Sala Cirúrgica com gerador para emergências por falta de luz;
– Sala de Espera confortável e equipada com TV de Led e Apple TV;
– Sala de Biossegurança;
– Escritório para atendimento e simulação de novo sorriso;
– Laboratório de Prótese para trabalhos protéticos com um excelente nível de adaptação e resistência.

Saiba mais, clicando aqui.

Realize a sua restauração conosco

ONDE ESTAMOS

Rua Miguel de Frias, 150 - Conj. de salas 702 / 703 Icaraí - Niterói - Rio de Janeiro

CONTATO

(21) 2622.6587 & 2621.6864
Whatsapp: (21) 99532.9156 carlosdantasclinica@gmail.com

REDES SOCIAIS

WhatsApp