Clareamento Dental
Clareamento Dental prático para deixar o seu sorriso mais bonito
O Clareamento Dental é um tratamento estético que tem como objetivo remover as manchas em tom amarelo dos dentes. As causas para a mudança de cor dos dentes são diversas, como: Envelhecimento, utilização de fumo, falta de higiene bucal, utilização de remédios, alguns alimentos ingeridos (café, chocolates, refrigerantes).
As restrições para o Clareamento Dental são: dentes com restaurações e canal, hipersensibilidade dentinária, menores de 16 anos, grávidas e pessoas que fizeram quimioterapia e radioterapia há pouco tempo.
Os cuidados após o procedimento são: uso de pasta de dente para dentes sensíveis e enxaguante bucal com flúor. Evite alimentos que mancham os dentes e alimentos ácidos.
Evite realizar o Clareamento Dental sem a supervisão de um dentista, pois pode causar queimaduras e enfraquecimento dos dentes.
Conheça um caso de Clareamento Dental da Clínica Carlos Dantas

Fase inicial do tratamento

Durante tratamento

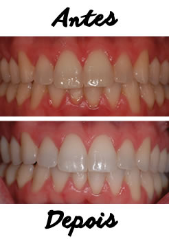
Antes e Depois do Clareamento

Resultado final
A Clínica Carlos Dantas trabalha atualmente com clareamento dental químico doméstico de aplicação de 15 minutos por dia, durante uma semana realizado pelo paciente em casa com a supervisão do Dr. Carlos Dantas através de visitas regulares na clínica.
O paciente recebe moldeiras de silicone sob medidas para evitar o contato do gel de clareamento com os tecidos gengivais, fabricadas em uma máquina no laboratório exclusivo da clinica.
Primeira sessão:
Fotos com escala de cor, prova da moldeira de silicone, entrega e orientação do kit para clareamento e cuidados com a alimentação e os hábitos do dia-a-dia.
Segunda sessão:
Avaliação após 1 semana da coloração e fotos para comparação da evolução do tratamento. Pode ser necessário entre 1 semana ou duas semanas adicionais.
Agende o seu Clareamento com a gente
ONDE ESTAMOS
Rua Miguel de Frias, 150 - Conj. de salas 702 / 703 Icaraí - Niterói - Rio de Janeiro
CONTATO
Whatsapp: (21) 99532.9156 carlosdantasclinica@gmail.com