CARGA IMEDIATA 2 - ARCADAS SUPERIOR E INFERIOR
Paciente sexo masculino 62 anos, portando dentadura superior e vários dentes inferiores comprometidos. Foi indicado duas prótese fixas aparafusadas, na arcada supeior foram realizados 6 implantes e na arcada inferior 5 implantes.

Antes do tratamento

RX panorâmico após a instalação das próteses

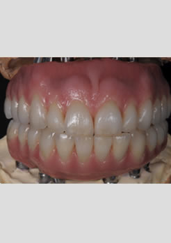
Próteses antes da instalação sobre o modelo de laboratório

Instalação das próteses com uma nova dimensão vertical de oclusão e novo posicionamento dos lábios e musculatura facial
ONDE ESTAMOS
Rua Miguel de Frias, 150 - Conj. de salas 702 / 703 Icaraí - Niterói - Rio de Janeiro
CONTATO
(21) 2622.6587 & 2621.6864
Whatsapp: (21) 99532.9156 carlosdantasclinica@gmail.com
Whatsapp: (21) 99532.9156 carlosdantasclinica@gmail.com