Blocos de Porcelana

Blocos de porcelana

Os Blocos de porcelana são peças para tratamento estético que deixam os seus dentes mais bonitos e harmônicos. São indicados para dentes com cárie de maior profundidade quando atingem mais de 1/3 da superfície oclusal dos dentes.

O tratamento tem o objetivo de reconstruir o dente, recuperando a forma, a função e a estética. A durabilidade do bloco depende do seu cuidado. Se houver uma cárie, por exemplo, ela deve ser tratada. O cuidado com a saúde bucal é fundamental e um exame periódico de 6 em 6 meses é necessário para que não ocorram problemas.

Caso ocorra cárie, ela deve ser tratada.

  

Conheça um caso de blocos de porcelana da Clínica Carlos Dantas

Blocos de porcelana

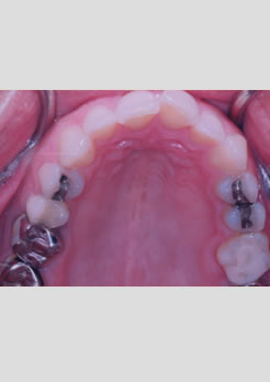
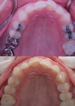
Dentes com restaurações antigas em amalgama e blocos de prata.

Tratamento com Blocos de porcelana

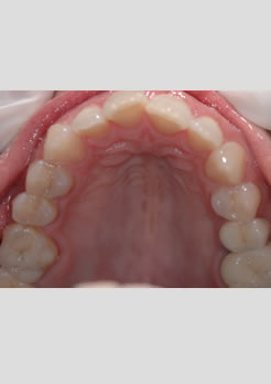
Restauração em porcelana instaladas

Odontologia - Blocos de porcelana

Antes e Depois do Tratamento

Conheça a estrutura da Clínica Carlos Dantas

A Clínica Carlos Dantas, localizada em Niterói, na região nobre e acessível de Icaraí, possui uma das melhores infraestruturas de Niterói para o seu tratamento dentário. Equipamentos de ponta para tratamento diferenciado para quem deseja ter um sorriso bonito e saudável.
– Consultório Planejado;
– Sala Cirúrgica com gerador para emergências por falta de luz;
– Sala de Espera confortável e equipada com TV de Led e Apple TV;
– Sala de Biossegurança;
– Escritório para atendimento e simulação de novo sorriso;
– Laboratório de Prótese para trabalhos protéticos com um excelente nível de adaptação e resistência.

Entre em contato e solicite um orçamento para blocos de porcelana.
Clique aqui e fale com a nossa equipe.

Clínica Odontológica Carlos Dantas

ONDE ESTAMOS

Rua Miguel de Frias, 150 - Conj. de salas 702 / 703 Icaraí - Niterói - Rio de Janeiro

CONTATO

(21) 2622.6587 & 2621.6864
Whatsapp: (21) 99532.9156 carlosdantasclinica@gmail.com

REDES SOCIAIS

WhatsApp